近日河北燕达医院骨科成功完成了京东地区膝关节单髁置换手术 。
来自保定的李长荣(化名)刚刚度过60生日,右膝关节内翻、疼痛已经多年。近1年来病情反复发作,逐渐加重,就诊多家医院保守治疗疗效均不满意,后被告知需要行全膝关节置换手术。

“我还年轻,有没有更加创伤小、恢复快的手术选择?”带着这个疑问,李长荣辗转来到燕达医院。刘清和主任对其进行全面评估后,认为患者较年轻,膝内翻伴关节内侧间室单室病变,特别适合行膝关节单髁置换手术。

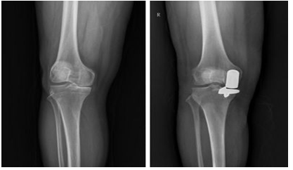
刘主任告诉患者,膝关节置换包括全膝关节置换和单髁表面置换。通俗的理解,如果全膝关节置换比作换个假牙,那么单髁置换术仅相当于补牙。所以单髁置换,创伤小,可以(zui)大程度的保留患者的自体组织和本体感觉,减少病人疼痛和住院时间,可以早期活动、快速康复。
手术当天先由刘清和主任主刀,手术切口仅有7cm,而全膝关节切口通常为15cm,甚至更长;截骨创伤为全膝关节置换术的1/3;术中出血量很少,无需放置引流。整个手术时间仅为半小时。患者术后1小时便可进行主动康复训练,术后第1天便可下地行走,术后1周满足了心愿的李长荣顺利出院返家休养。解决了困扰老李多年的膝关节疼痛,达到了快速康复效果。如此之快的康复速度,全膝关节置换是无法做到的。

延伸阅读:
随着人口老龄化以及人均寿命延长,我国膝关节骨性关节炎发病率逐年增高。通常,40岁以后膝关节软骨便失去再生能力。所以,避免关节磨损就成为预防骨性关节炎的关键,其中包括减轻体重,减少负重以以及上下楼梯和下蹲运动等。除此之外,还可进行肌肉锻炼并辅以药物治疗。但严重至保守治疗无效时,办法就是膝关节置换。
我国是全球膝关节骨性关节炎发病增长(zui)快的地区,一部分患者需要膝关节置换,其中相当部分可以选择更加微创的单髁表面置换。它特别适合65岁以下,80岁以上伴膝内翻的关节病:前者能有效地延长全膝关节置换时间,后者可以作为手术而避免全膝关节置换。

刘清和主任系朝阳医院骨科主任医师,医学硕士,燕达医院(朝阳医院河北院区)骨科主任,教授。
1988年起在北京朝阳医院骨科工作至今。曾赴瑞士AO总部学习骨折内固定技术;德国风湿病医院和汉堡ENDOCLINIK学习人工关节技术。善于将国际新技术与成果应用于临床实践,积累了10余万人次的门急诊诊治经验,及4000余例骨科手术经验。 其所在团队早在1992年就已率先将单髁表面置换术引入国内,并加以改进和国产化,取得了较好的疗效和经验。

供稿人:骨科张国栋